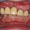
种植义齿流程详解
1.诊断与治疗计划
种植义齿的治疗必须先进行必要的诊断,在确定患者能种植义齿之后,建立具体的治疗计划。
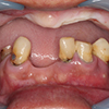
2.固定物埋入的手术
经过手术将类似牙根形态的植入体植入(上下)颚的骨组织内,(fixture)。手术会进行局部麻醉,可以放心接受手术。
3.治疗时间
首次手术后,使植入体在封闭环境中完成骨整合(3~6个月)
*根据个人骨质情况,治疗时间有差异。
*在这其间中,根据须要,暂时装上假牙也可以。
4.支座的连结
作为人工牙齿的支座的植入部分(abutment)与固定物连接。
5.装上人工牙齿
拍摄装入种植齿以后口内的整体印象(模型制作)。根据这个模型制作义齿。然后在支座上装上义齿。
装置的流程
6.维护,保养
义齿种植治疗完成之后,为了义齿能够更长时间使用,必须进行家庭维护与定期的检查。 在医生的指导下,正确的清洁牙齿。另外,半年一次到医院定期检查。















